Existem muitas pessoas que possuem ausências de dentes e por causa disso acabam usando próteses, que com o tempo ficam mal adaptadas, chegando ao ponto de causar, além de um desconforto mastigatório, um problema estético.
O caso abaixo mostra exatamente isso, um sorriso completamente comprometido esteticamente e um paciente com sua capacidade mastigatória reduzida pela metade.
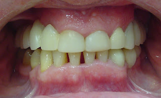
Notem como era o sorriso antes :
Fizémos uma remodelação estética em todo o sorriso, e vejam como ficou o resultado final:
Completamente diferente !!!!!!




Nenhum comentário:
Postar um comentário
Seu comentário é muito importante!!!