Dentes clareados já virou moda...mania..febre...e não é a toa, pois realmente um sorriso branco é muito mais bonito e atraente.
E para comemorar o Dia dos Namorados - 12 de junho - mais um caso de sucesso em Clareamento Dental !
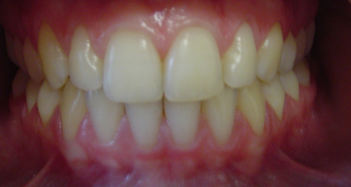
Acompanhem as fotos iniciais e finais, como a diferença é visível, mas o aspecto dos dentes ainda mantém a naturalidade.....
E você? Já fez o seu? Esta é uma ótima dica para presentear no Dia dos Namorados......


Nenhum comentário:
Postar um comentário
Seu comentário é muito importante!!!